En Radio Disney (990 AM) el Viernes 8 De Febrero a la 1:30 pm.
A nombre de la Asociacion Americana del Corazon con motivo del Mes del Corazon.
En Radio Disney (990 AM) el Viernes 8 De Febrero a la 1:30 pm.
A nombre de la Asociacion Americana del Corazon con motivo del Mes del Corazon.
Enfermedad coronaria es el nombre que se le da a la enfermedad que sufren muchas personas que padecen de síntomas o aflicciones de las arterias que le suministran sangre al corazón.
Como sabemos, casi todo los órganos y tejidos del cuerpo necesitan sangre oxigenada para su funcionamiento apropiado. Esto incluye tambien al músculo del corazón.
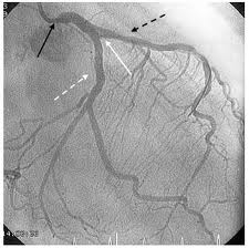
El corazón recibe sangre por vía de las 3 arterias coronarias.
La arteria coronaria principal izquierda, se bifurca en: 1) la arteria descendiente anterior y 2)la arteria circunfleja. Estas aún se dividen en otras ramas más pequeñas. La tercera arteria coronaria es: 3). la arteria coronaria derecha, que también se bifurca en otras ramas más pequeñas. Todas estas arterias y sus ramas son las responsables de suministrarle sangre al músculo del corazón.


y arteria circunfleja
Con el tiempo y el proceso de envejecimiento, la luz de las arterias coronarias (se le llama así al lugar por donde fluye la sangre) se va tupiendo y estrechándose. Esto resulta en que la cantidad de sangre que circula por ellas, vaya disminuyendo con el tiempo.

Este estrechamiento en la luz del vaso sanguíneo (por dentro) se debe a múltiples factores. Los más importantes son: el colesterol y las grasas que consumimos. El efecto de las sustancias nocivas que se encuentran en los cigarrillos; la falta de ejercicio, que permite que se depositen las sustancias dañinas en los vasos sanguinos; la diabetes, por efecto de la glucosa en la sangre; el estrés; la obesidad; la falta de ejercicios y otros factores tales como la polución del aire, son otras de las causas ambientales y del estilo de vida. La genética, es otro de los factores, del cual no tenemos control, y que también influye en este proceso.
En el 50% de las personas es así como ocurre la tupición gradual de las arterias, que puede resultar en angina e infarto. Esto es lo que pasa cuando la persona presenta un aumento gradual en síntomas como dolor de pecho.
Personas que previamente podían correr o caminar 5 cuadras sin molestia, y ahora se cansan o les da opresión del pecho al caminar 1 o 2 cuadras.
Personas que podían bailar sin dificultad, que ahora tienen que parar por molestias luego de 1 baile.
Mientras que la actividad física no se aumente, la persona no siente síntomas porque la estrechez del vaso sanguíneo permite el flujo de suficiente sangre. Al aumentar la intensidad del esfuerzo, como la estrechez de la arteria no permite el aumento del flujo de sangre necesario, se producen los síntomas. Síntomas como presión o dolor del pecho, falta de aire, molestia en la quijada, en el hombro, sudoración y otros.
En la otra mitad de los casos, el proceso de inflamación y acumulación de estos materiales responsables en tupir la luz de la arteria, sucede por debajo de la luz de la arteria. En vez de irse tupiendo la luz de la arteria gradualmente con el tiempo y produciendo síntomas como en la mayoría de los pacientes, este proceso, no produce síntoma.
El proceso de arteriosclerosis está ocurriendo por debajo del endotelio, y por lo tanto no tupe o interrumpe el flujo de sangre en el vaso sanguíneo.

De esta forma, la arteria se va dilatando y la luz del vaso se queda abierta. En vez de mantener su forma circular, la arteria coge una forma ovalada, como se ve en la figura anterior.
Al no haber una disminución en el tamaño de la luz del vaso, el paciente por lo general, no siente síntomas. Si se le hace una prueba de esfuerzo (estera) a estos pacientes, frecuentemente, el resultado será normal.
En ambos procesos, las células del endotelio que rodean el torrente sanguíneo, se van dañando. Este daño es debido a los mismos factores químicos y metabólicos que han sido ya mencionados; la diabetes, el estrés, el fumar, la falta de ejercicios, la mala alimentación etc.
Es este daño en el endotelio, que resulta ser el factor más importante (desencadenador) en cómo se va a manifestar el evento cardiaco. Recuerde que cuando se producen síntomas, casi siempre es debido a una tupición, estrechez u oclusión gradual de la arteria. Esta tupición, ocurre en áreas de la arteria donde hay daño de las células que forman el endotelio.
En personas que han sufrido de un infarto inesperado o muerte súbita, lo que ha sucedido es una ruptura inmediata de una placa, a nivel del endotelio.

Recuerde que en este grupo, los procesos de la arteriosclerosis están ocurriendo por debajo de la capa del endotelio, sin afectar la luz del vaso sanguíneo, como se puede apreciar en las figuras anteriores.
La ruptura de una placa vulnerable, es un proceso parecido a lo que sucede con un volcán.
Por debajo de la luz del vaso sanguíneo, fuera de la vista, está ocurriendo el proceso inflamatorio intenso.Todo va bien y el paciente no siente sintomatología, hasta que algún día, por múltiples causas, algo sucede que esa placa se rompe.

El contenido de material inflamatorio que ha estado por debajo de la capa de endotelio, fuera de la luz del vaso, ahora entra a la luz de la arteria. La arteria se comienza a tupir y cerrar, como se aprecia en la figura de arriba. Este proceso sucede en micro segundos.
El cuerpo, para tratar de limitar el daño que está ocurriendo en esta área de la arteria, inunda el área con plaquetas y otras sustancias químicas para tratar de limitar el daño. La ruptura de la placa y el deposito del contenido infamatorio hacia la luz de la arteria, combinado con los procesos corporales normales que tratan de limitar el daño, hace que se forme un coagulo en la luz de la arteria.
De inmediato, en segundos, la luz de la arteria coronaria se ocluye completamente, resultando en un infarto masivo, si la persona tiene suerte, o muerte súbita.

50% de los pacientes ni saben que tienen problema cardiacos, hasta que sufren de este tipo de evento catastrófico, como su primer evento cardiaco!!
No podemos cambiar nuestros padres y los genes que hemos heredados, pero si podemos cambiar nuestro estilo de vida, que viene siendo el componente más importante en el control de enfermedades coronarias y cardio-vasculares.
Porque usted se sienta bien, sin dolor de pecho, no quiere decir que este bien, cualquiera puede estar padeciendo de enfermedad coronaria. Es igual a las personas que padecen de presión alta, que se les descubre casualmente en una visita con el médico. O la persona con niveles de azúcar alta, que se le descubre en un análisis de sangre.
Del mismo modo, usted puede estar padeciendo de procesos inflamatorios a nivel de las arterias coronarias, sin que se dé cuenta. Por eso es que se deben de cuidar factores controlables como el fumar, la dieta, hacer ejercicios y aprender a dominar el estrés.
Personas con historia familiar de infarto o enfermedad cardiaca, necesitan cuidarse aún más y poner más énfasis en la prevención. La mayoría de estas enfermedades son controlables, pero depende de usted.
Un nuevo estudio británico halla que los vegetarianos pueden tener alrededor de un tercio menos riesgo de hospitalización o muerte por enfermedades cardiovasculares que los carnívoros.
"La mayor parte de la diferencia en el riesgo probablemente sea causada por los efectos sobre el colesterol y la presión arterial, y muestra el importante rol de la dieta en la prevención de las enfermedades cardiacas", señaló en un comunicado de prensa de la Universidad de Oxford la investigadora líder, la Dra. Francesca Crowe, de la unidad de epidemiología del cáncer de la universidad.
El estudio incluyó a casi 45,000 personas de Inglaterra y Escocia, de las cuales alrededor de un tercio eran vegetarianas. Según el equipo de investigación, tener una proporción tan grande de vegetarianos en este tipo de estudios es raro, y permitió una comparación más precisa del riesgo de enfermedad cardiaca entre vegetarianos y no vegetarianos.
Los participantes fueron reclutados para el estudio en el transcurso de los años 90, y todos proveyeron información sobre su salud y estilo de vida al inscribirse. También se midió la presión arterial y los niveles de colesterol de alrededor de 20,000 de los voluntarios, y el seguimiento continuó hasta 2009.
Durante el periodo de seguimiento, se identificó enfermedad cardiaca en más de 1,200 personas, lo que incluyó 169 muertes por enfermedad cardiaca.
El equipo de Crowe halló que los vegetarianos tenían unas probabilidades de ser hospitalizados o de morir de enfermedad cardiaca un 32 por ciento más bajo que las personas que comían carne o pescado. Típicamente, los vegetarianos tenían una presión arterial y unos niveles de colesterol más bajos que los no vegetarianos.
Los vegetarianos también tendían a ser más delgados y había menos casos de diabetes, pero se halló que esos dos factores no afectaron significativamente los resultados del estudio, que los investigadores reportaron en la edición de enero de la revista American Journal of Clinical Nutrition.
Pero el estudio solo pudo mostrar una asociación entre una dieta sin carne y una mejor salud del corazón, no causalidad. Y un experto de EE. UU. señaló que la investigación tuvo algunas limitaciones.
En primer lugar, los vegetarianos del estudio "tenían aproximadamente diez años menos [en promedio] que los no vegetarianos", lo que posiblemente sesgara los resultados, comentó el Dr. Stephen Green, presidente asociado del departamento de cardiología del Hospital de la Universidad de North Shore, en Manhasset, Nueva York. También cree que las poblaciones estudiadas podrían no ser equivalentes al estadounidense promedio.
"Estas personas son mucho más delgadas que los estadounidenses, fuman menos y son más activas", anotó Green. "Respecto al estudio, el IMC [el índice de masa corporal, una medida del peso en comparación con la estatura] promedio en este estudio es de entre 23 y 24, una cifra cada vez más rara para los estadounidenses. Por ejemplo, esto equivaldría a tener 1.8 metros (6 pies) de estatura y 78 kilos (173 libras), o una estatura de 1.57 metros (5 pies 3 pulgadas) y 60 kilos (132 libras). Ese tipo de peso es cada vez más raro en EE. UU.".
Pero otro experto aseguró que los beneficios de salud del vegetarianismo están bien establecidos.
"'¡Cómete las verduras!' es una expresión favorita de las madres de todas partes. Ahora, el mismo adagio quizás sea el mejor consejo cuando salga del consultorio del cardiólogo para reducir el riesgo de un ataque cardiaco", aseguró el Dr. Kevin Marzo, jefe de cardiología del Hospital de la Universidad de Winthrop en Mineola, Nueva York.
Marzo también se preguntó sobre el efecto en la salud cardiaca de las dietas en que la carne y el pescado se reducen, pero no se eliminan.
"Aunque no se abordó en este importante estudio, para los que no estén listos para una dieta sin carne, los pesco-vegetarianos (que comen pescado) y los semi vegetarianos que limitan los productos animales pero que siguen comiendo carne una vez a la semana o algo así, podrían tener una 'protección intermedia' contra las enfermedades cardiacas", planteó.
Un pequeño estudio halló que reducía los episodios de mareos y de falta de aire en pacientes con fibrilación auricular.
Las personas con un problema común del ritmo cardiaco conocido como fibrilación auricular o atrial fibrillation ( en Ingles), podrían reducir sus síntomas al añadir una forma suave de yoga a su régimen de tratamiento, sugiere un pequeño estudio.
La investigación, publicada en línea el 30 de enero en la revista Journal of the American College of Cardiology, es una de las primeras en evaluar los efectos del yoga sobre el problema cardiaco conocido como fibrilación auricular.
Los expertos advirtieron de que aunque los hallazgos puedan ser prometedores, se necesita más investigación.
La fibrilación auricular aparece cuando las cámaras superiores del corazón se agitan caóticamente en lugar de contraerse con normalidad; no es peligroso de forma inmediata, pero puede causar síntomas tales como palpitaciones, falta de aire y mareos. A largo plazo, también puede aumentar el riesgo de accidentes cerebrovasculares o insuficiencia cardiaca.
En el tratamiento estándar se usan medicamentos para controlar el ritmo y la frecuencia cardiacos, y aspirinas para evitar coágulos sanguíneos.
No obstante, este tratamiento a menudo no es suficiente para evitar que se produzca algún episodio. En el nuevo estudio, los investigadores evaluaron si el hecho de añadir unas clases de yoga suave al tratamiento con medicación de 49 pacientes podría ser de ayuda.
El investigador principal, el Dr. Dhanunjaya Lakkireddy, afirmó que su propio padre era un "maestro de yoga", así que esta práctica le era familiar. Pero le motivaba aún más que la investigación mostrara que el yoga puede tener un efecto calmante sobre el sistema nervioso, y ayudar así a bajar la presión sanguínea y la frecuencia cardiaca.
Su equipo halló que a los tres meses de iniciar las clases, los pacientes empezaron a tener menos síntomas: un promedio de dos episodios, frente a casi cuatro en los tres meses previos a las clases de yoga.
A pesar de eso, el yoga no sustituye a la medicación, afirmó Lakkireddy, cardiólogo en el Hospital y el Centro Médico de la Universidad de Kansas, en Kansas City.
"Haciendo yoga solo no va a eliminarlo", aseguró. "Aun así necesita tomar los medicamentos adecuados y seguir las recomendaciones de los médicos. Pero esto sugiere que el yoga puede ser un complemento fantástico".
El estudio contó con 49 pacientes con fibrilación auricular paroxística: una forma en que los síntomas aparecen súbitamente y desaparecen por sí mismos, normalmente en 24 horas.
Durante los primeros tres meses, los pacientes se dedicaron a realizar sus actividades habituales. Entonces, durante los tres meses siguientes, asistieron a sesiones de una hora de yoga con un profesor certificado, al menos dos veces a la semana; algunas personas optaron por ir cada día.
El estudio tiene la limitación de que no contó con un grupo "de control" de pacientes que no asistieron a clases de yoga, según la Dra. Nieca Goldberg, cardióloga.
Por tanto, eso hace que sea menos seguro que fuera el yoga el que reportara tales beneficios.
"Se necesita más investigación, pero estos hallazgos son muy prometedores", comentó Goldberg, directora médica del Centro de Salud de las Mujeres del Centro Médico Langone de la NYU en la ciudad de Nueva York.
Pero ella también hizo hincapié en que es importante que la gente sepa que hay distintos estilos de yoga, y algunos puede que no sean adecuados o incluso sean peligrosos para las personas con problemas cardiacos.
"En este estudio se practicó una forma suave de yoga", indicó Goldberg. "Los hallazgos no hablan de todos los estilos de yoga".
En concreto, los pacientes del estudio asistieron a clases del estilo Iyengar, en el que se realizan movimientos lentos y se pone mucho énfasis en el alineamiento adecuado entre la postura, la respiración y la relajación.
Hay otros estilos de yoga que son más vigorosos, como el estilo "vinyasa". También hay clases de "yoga caliente", en las que la temperatura de la sala se mantiene a 105 Fº (40.5 Cº).
"Nunca recomendaríamos el yoga caliente para un paciente con problemas cardiacos", enfatizó Goldberg.
Una vez aclarado eso, Goldberg ya sugiere a algunos de sus pacientes con problemas cardiacos que asistan a clases de yoga suave. Tanto ella como Lakkireddy afirmaron que los pacientes interesados en el yoga deberían tener la aprobación de su médico primero.
Por supuesto, comentó Goldberg, su médico quizá no pueda recomendarle un programa de yoga específico. En ese caso, sugirió que llamaran a un centro de yoga local o un centro para personas mayores y preguntaran si imparten clases adaptadas para personas mayores o con enfermedad cardiaca.
Lakkireddy señaló que alguien con fibrilación auricular, relativamente joven y que, por lo demás, goce de una buena salud puede intentar asistir de forma regular a clases de yoga de estilo Iyengar. Pero asegúrese de hablar con el profesor primero sobre su problema cardiaco, afirmó.
En Estados Unidos, se estima que alrededor de 2.7 millones de personas sufren de fibrilación auricular. Además de la fibrilación auricular paroxística, hay otras dos formas: persistente y permanente. Lakkireddy afirmó que no se puede dar por sentado que sus hallazgos apliquen a esas otras formas del trastorno.
¿Qué es la técnica Meditación Trascendental?
La técnica Meditación Trascendental es un proceso simple, natural, sin esfuerzo, que se practica de 15 a 20 minutos, dos veces al día, sentado cómodamente con los ojos cerrados. Es única entre las técnicas de meditación, y se distingue por su facilidad, naturalidad y profunda eficacia.
La técnica MT permite que la mente vaya hacia dentro, más allá del pensamiento, para experimentar la silenciosa reserva de energía, creatividad e inteligencia que se encuentra en el interior de cada uno: un estado natural de alerta en descanso. Durante su práctica, el cerebro funciona con una coherencia considerablemente mayor y el cuerpo gana un descanso muy profundo.
No es una religión, filosofía, o estilo de vida. Es el método de autodesarrollo más practicado, más eficaz y más investigado científicamente.
Más de cinco millones de personas en todo el mundo han aprendido esta técnica simple y natural: personas de todas las edades, culturas y religiones.
Más de 600 estudios de investigación han sido realizados en más de 200 universidades y centros de investigación (incluyendo Harvard, UCLA, y Stanford). Estos estudios han sido publicados en más de 100 revistas científicas.
La técnica de Meditación Trascendental está basada en la antigua tradición védica de iluminación en India. Este conocimiento ha sido transmitido por maestros védicos de generación en generación durante miles de años. Hace aproximadamente 50 años, Maharishi, el representante de la Tradición Védica en nuestra época, introdujo la Meditación Trascendental en el mundo, restaurando el conocimiento y la experiencia de estados más elevados de consciencia en este tiempo crítico para la humanidad. Cuando se enseña la técnica de Meditación Trascendental hoy, mantenemos los mismos procedimientos y eficacia que los profesores de hace miles de años.
8 Buenas razones para meditar:
Mejor funcionamiento cerebral: Mayor utilización de la capacidad cerebral.
Salud: Reducir el stress disminuye la presión arterial.
Enfoque: Pensar claramente.
Creatividad: Aumenta la creatividad, se es más creativo.
Serenidad: Mayor serenidad y calma interior.
Felicidad: Mayor capacidad organizativa que trae mayor rendimiento laboral.
Relaciones: Relaciones armoniosas, mayor aprecio a los demás.
Paz: Autorrealización que trae paz interior.